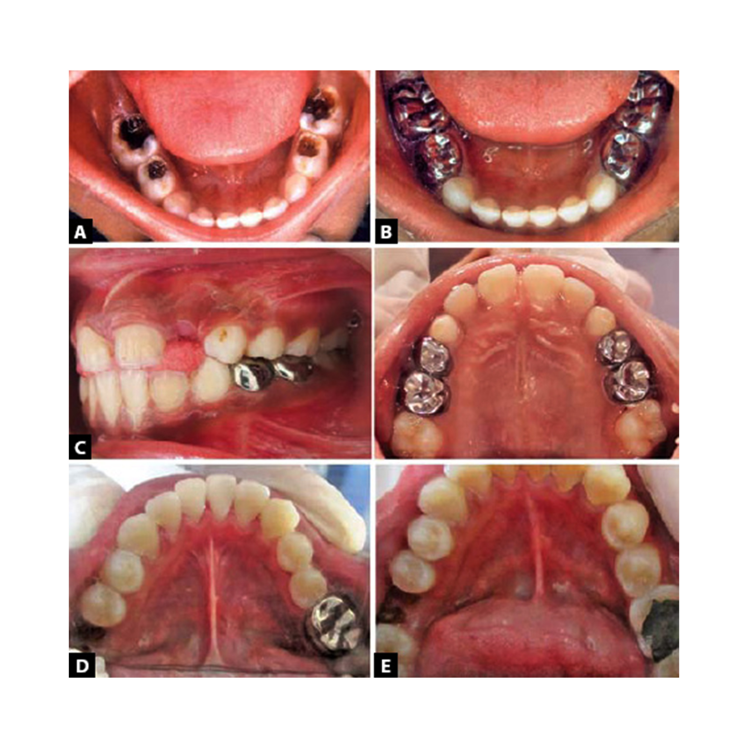
Stainless Steel Crown Failure . 1, 2 the goal of the restoration is to reestablish the coronal tooth structure lost owing to caries, fracture, or malformation and maintain a. introduces advantages of stainless steel crowns (sscs) in repairing seriously defective primary molars. stainless steel crowns are the most commonly used restorative option for repairing and preserving the remaining. stainless steel crowns are the most commonly used restorative option for repairing and preserving the remaining tissue of severely. the effectiveness of stainless steel crowns (sscs) versus direct restorations when placed in primary mandibular molars (teeth.
from www.statpearls.com
1, 2 the goal of the restoration is to reestablish the coronal tooth structure lost owing to caries, fracture, or malformation and maintain a. stainless steel crowns are the most commonly used restorative option for repairing and preserving the remaining tissue of severely. introduces advantages of stainless steel crowns (sscs) in repairing seriously defective primary molars. the effectiveness of stainless steel crowns (sscs) versus direct restorations when placed in primary mandibular molars (teeth. stainless steel crowns are the most commonly used restorative option for repairing and preserving the remaining.
Stainless Steel Crowns In Primary Dentition Article
Stainless Steel Crown Failure stainless steel crowns are the most commonly used restorative option for repairing and preserving the remaining tissue of severely. stainless steel crowns are the most commonly used restorative option for repairing and preserving the remaining tissue of severely. 1, 2 the goal of the restoration is to reestablish the coronal tooth structure lost owing to caries, fracture, or malformation and maintain a. the effectiveness of stainless steel crowns (sscs) versus direct restorations when placed in primary mandibular molars (teeth. introduces advantages of stainless steel crowns (sscs) in repairing seriously defective primary molars. stainless steel crowns are the most commonly used restorative option for repairing and preserving the remaining.
From www.youtube.com
Stainless Steel Crown Preparation and Placement Description shows Stainless Steel Crown Failure 1, 2 the goal of the restoration is to reestablish the coronal tooth structure lost owing to caries, fracture, or malformation and maintain a. stainless steel crowns are the most commonly used restorative option for repairing and preserving the remaining tissue of severely. the effectiveness of stainless steel crowns (sscs) versus direct restorations when placed in primary mandibular. Stainless Steel Crown Failure.
From kidsworldpediatricdental.com
SSC (Stainless Steel Crowns) Kids World Pediatric Dentistry Stainless Steel Crown Failure stainless steel crowns are the most commonly used restorative option for repairing and preserving the remaining. the effectiveness of stainless steel crowns (sscs) versus direct restorations when placed in primary mandibular molars (teeth. 1, 2 the goal of the restoration is to reestablish the coronal tooth structure lost owing to caries, fracture, or malformation and maintain a. . Stainless Steel Crown Failure.
From www.statpearls.com
Stainless Steel Crowns In Primary Dentition Article Stainless Steel Crown Failure stainless steel crowns are the most commonly used restorative option for repairing and preserving the remaining tissue of severely. the effectiveness of stainless steel crowns (sscs) versus direct restorations when placed in primary mandibular molars (teeth. 1, 2 the goal of the restoration is to reestablish the coronal tooth structure lost owing to caries, fracture, or malformation and. Stainless Steel Crown Failure.
From moirawongorthodontics.co.uk
Stainless steel crowns Moira Wong trading as Moira Wong Stainless Steel Crown Failure 1, 2 the goal of the restoration is to reestablish the coronal tooth structure lost owing to caries, fracture, or malformation and maintain a. stainless steel crowns are the most commonly used restorative option for repairing and preserving the remaining tissue of severely. stainless steel crowns are the most commonly used restorative option for repairing and preserving the. Stainless Steel Crown Failure.
From www.tv.odontologiavirtual.com
STAINLESS STEEL CROWNS Using 3M ESPE in Pediatric Dentistry Dr. Ted Stainless Steel Crown Failure the effectiveness of stainless steel crowns (sscs) versus direct restorations when placed in primary mandibular molars (teeth. stainless steel crowns are the most commonly used restorative option for repairing and preserving the remaining tissue of severely. stainless steel crowns are the most commonly used restorative option for repairing and preserving the remaining. 1, 2 the goal of. Stainless Steel Crown Failure.
From www.slideshare.net
Stainless steel crowns (PEDODONTICS) Stainless Steel Crown Failure introduces advantages of stainless steel crowns (sscs) in repairing seriously defective primary molars. stainless steel crowns are the most commonly used restorative option for repairing and preserving the remaining tissue of severely. the effectiveness of stainless steel crowns (sscs) versus direct restorations when placed in primary mandibular molars (teeth. stainless steel crowns are the most commonly. Stainless Steel Crown Failure.
From www.myzerodonto.com
How to Deal with Stainless Steel ? MyZerodonto Stainless Steel Crown Failure stainless steel crowns are the most commonly used restorative option for repairing and preserving the remaining. introduces advantages of stainless steel crowns (sscs) in repairing seriously defective primary molars. the effectiveness of stainless steel crowns (sscs) versus direct restorations when placed in primary mandibular molars (teeth. stainless steel crowns are the most commonly used restorative option. Stainless Steel Crown Failure.
From cherryhilldentistryllc.com
Things You Should Know About Crown Failure Cherry Hill Dentistry Stainless Steel Crown Failure stainless steel crowns are the most commonly used restorative option for repairing and preserving the remaining tissue of severely. stainless steel crowns are the most commonly used restorative option for repairing and preserving the remaining. the effectiveness of stainless steel crowns (sscs) versus direct restorations when placed in primary mandibular molars (teeth. introduces advantages of stainless. Stainless Steel Crown Failure.
From www.youtube.com
Stainless Steel Crowns YouTube Stainless Steel Crown Failure 1, 2 the goal of the restoration is to reestablish the coronal tooth structure lost owing to caries, fracture, or malformation and maintain a. introduces advantages of stainless steel crowns (sscs) in repairing seriously defective primary molars. stainless steel crowns are the most commonly used restorative option for repairing and preserving the remaining. the effectiveness of stainless. Stainless Steel Crown Failure.
From www.dentganga.com
Buy 3M ESPE Stainless Steel Primary Molar Crown ND96 pedo Kit Online at Stainless Steel Crown Failure 1, 2 the goal of the restoration is to reestablish the coronal tooth structure lost owing to caries, fracture, or malformation and maintain a. stainless steel crowns are the most commonly used restorative option for repairing and preserving the remaining. introduces advantages of stainless steel crowns (sscs) in repairing seriously defective primary molars. stainless steel crowns are. Stainless Steel Crown Failure.
From www.tv.odontologiavirtual.com
How to cement a Stainless Steel Crown Step by Step Stainless Steel Crown Failure stainless steel crowns are the most commonly used restorative option for repairing and preserving the remaining tissue of severely. 1, 2 the goal of the restoration is to reestablish the coronal tooth structure lost owing to caries, fracture, or malformation and maintain a. introduces advantages of stainless steel crowns (sscs) in repairing seriously defective primary molars. the. Stainless Steel Crown Failure.
From www.scribd.com
Stainless Steel Crowns (SSCS) PDF Dentistry Branches Mouth Stainless Steel Crown Failure 1, 2 the goal of the restoration is to reestablish the coronal tooth structure lost owing to caries, fracture, or malformation and maintain a. introduces advantages of stainless steel crowns (sscs) in repairing seriously defective primary molars. stainless steel crowns are the most commonly used restorative option for repairing and preserving the remaining. stainless steel crowns are. Stainless Steel Crown Failure.
From www.slideshare.net
Stainless steel crowns Stainless Steel Crown Failure 1, 2 the goal of the restoration is to reestablish the coronal tooth structure lost owing to caries, fracture, or malformation and maintain a. stainless steel crowns are the most commonly used restorative option for repairing and preserving the remaining. stainless steel crowns are the most commonly used restorative option for repairing and preserving the remaining tissue of. Stainless Steel Crown Failure.
From www.researchgate.net
Typical stainlesssteel crowns after cementation; authors in this Stainless Steel Crown Failure the effectiveness of stainless steel crowns (sscs) versus direct restorations when placed in primary mandibular molars (teeth. 1, 2 the goal of the restoration is to reestablish the coronal tooth structure lost owing to caries, fracture, or malformation and maintain a. stainless steel crowns are the most commonly used restorative option for repairing and preserving the remaining tissue. Stainless Steel Crown Failure.
From www.missionimplantcenter.com
Dental crown options; material, safety and procedure missionimplantcenter Stainless Steel Crown Failure stainless steel crowns are the most commonly used restorative option for repairing and preserving the remaining. the effectiveness of stainless steel crowns (sscs) versus direct restorations when placed in primary mandibular molars (teeth. stainless steel crowns are the most commonly used restorative option for repairing and preserving the remaining tissue of severely. 1, 2 the goal of. Stainless Steel Crown Failure.
From pediatricdentistry.ca
Stainless Steel Crowns in Children Ari Pediatric Dentistry & Orthodontics Stainless Steel Crown Failure introduces advantages of stainless steel crowns (sscs) in repairing seriously defective primary molars. the effectiveness of stainless steel crowns (sscs) versus direct restorations when placed in primary mandibular molars (teeth. 1, 2 the goal of the restoration is to reestablish the coronal tooth structure lost owing to caries, fracture, or malformation and maintain a. stainless steel crowns. Stainless Steel Crown Failure.
From www.youtube.com
Stainless Steel Crown on radiographs YouTube Stainless Steel Crown Failure stainless steel crowns are the most commonly used restorative option for repairing and preserving the remaining. the effectiveness of stainless steel crowns (sscs) versus direct restorations when placed in primary mandibular molars (teeth. 1, 2 the goal of the restoration is to reestablish the coronal tooth structure lost owing to caries, fracture, or malformation and maintain a. . Stainless Steel Crown Failure.
From www.odontovida.com
ORTHODONTICS Serial extraction of primary teeth OdontoVida Stainless Steel Crown Failure introduces advantages of stainless steel crowns (sscs) in repairing seriously defective primary molars. 1, 2 the goal of the restoration is to reestablish the coronal tooth structure lost owing to caries, fracture, or malformation and maintain a. stainless steel crowns are the most commonly used restorative option for repairing and preserving the remaining tissue of severely. the. Stainless Steel Crown Failure.